Premier Dental Group Smile Gallery

They say that a picture is worth a thousand words. Our photos speak for themselves.
If you are wondering how a visit to Premier Dental Group can improve your smile and your life, take a minute to look through our photo gallery.

Restoration With Tooth-Colored Filling

Before And After Of Replacing A Metal Filling With Composite
Before And After Of Replacing A Metal Filling With Composite
Before And After Of Filling A Large Decaying Tooth
Before And After Of A Filling On Top Of A Molar

Restoration With Composite Veneer For Front Teeth

Before After
Before After
Before After

Composite Restoration (Abfraction)

Before And After Abfraction Restoration On Upper Right Molars
Before And After Abfraction Restoration On Anterior Teeth
Before And After Abfraction Restoration On Upper Right Hemiarch

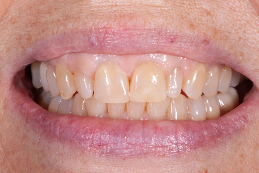
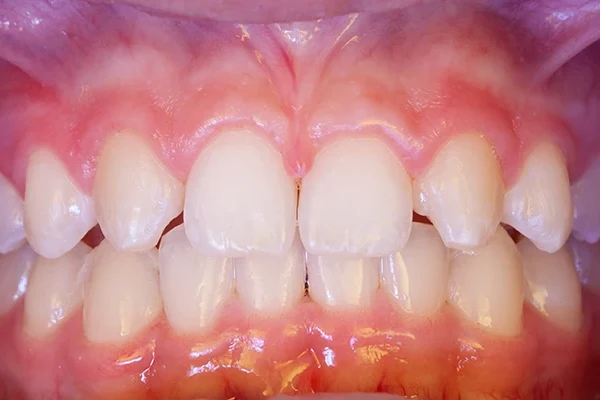
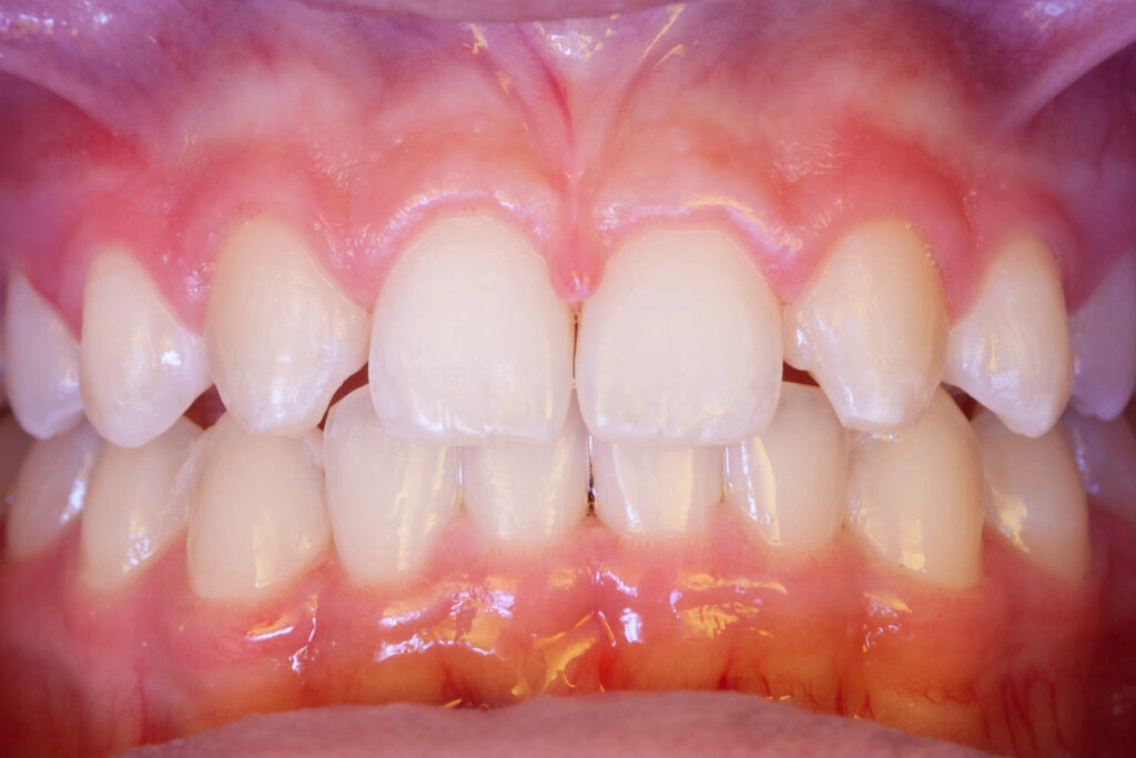
Restoration With Anterior Crowns & Veneers

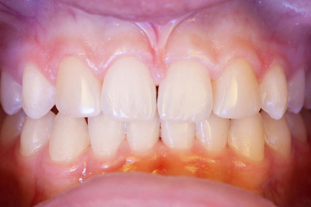
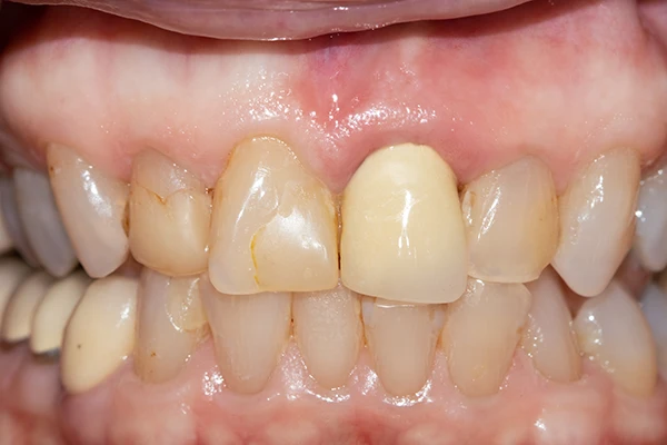
Before And After Veneer For A Chipped Central Incisor
Before And After Veneer For A Chipped Incisor
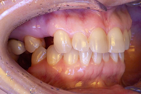
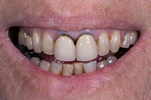
Before And After Of A Crown On A Central Upper Incisor
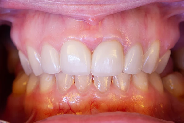
Before And After Of Veneers Across The Upper And Lower Arch
Before And After Of Veneers Across Upper Arch

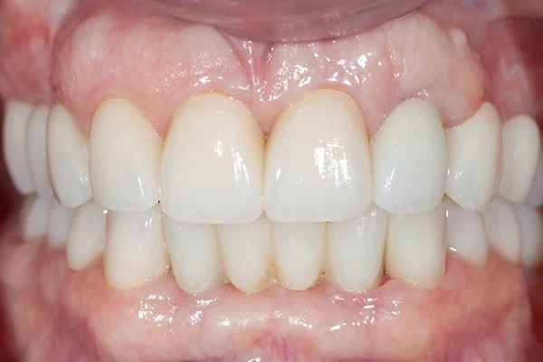
Implant Crown Restoration

Before And After Of A Patient With An Implant On Their Right Canine Tooth
Before And After Of A Patient With An Implant On Their Left Canine Tooth
Before And After Of A Patient With An Implant On Their Lateral Incisor

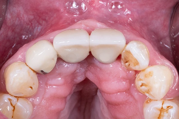
3-Unit Bridge

Before And After Of A Patients Dental Bridge Across The First Premolar
Before And After Of A Patients Dental Bridge
Before, During, And After Of A Patients Dental Bridge Across The Lower Incisors

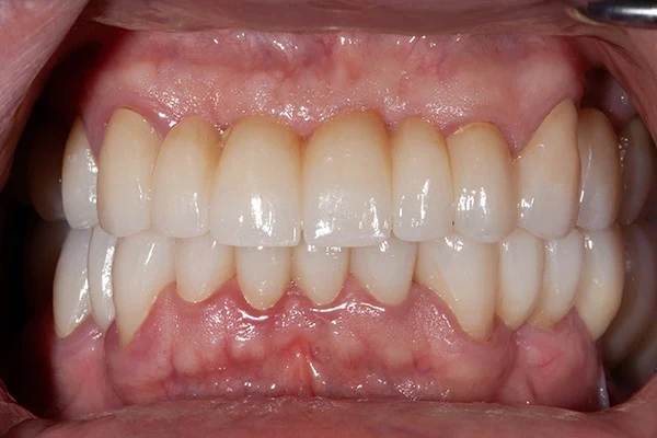
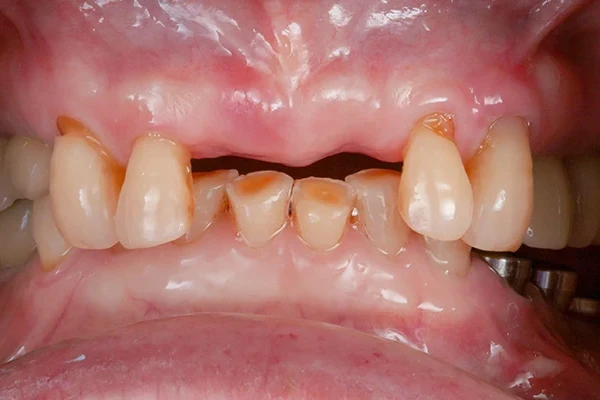
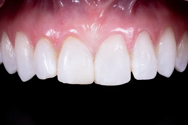
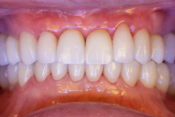
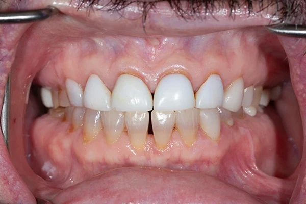
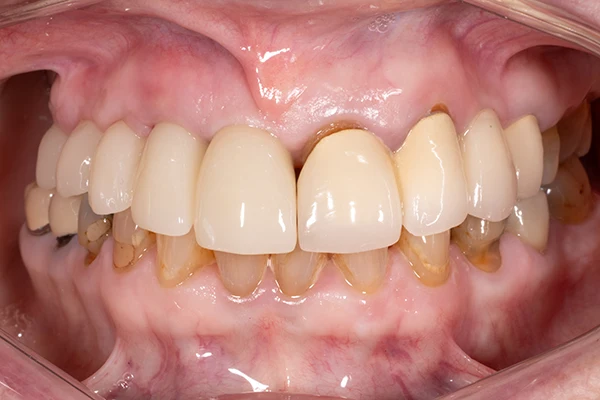
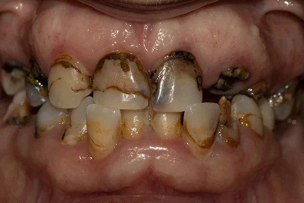
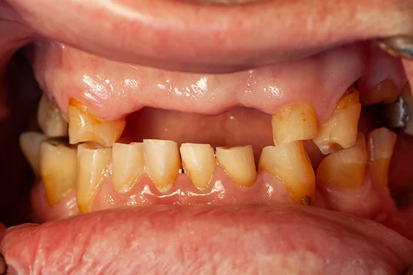
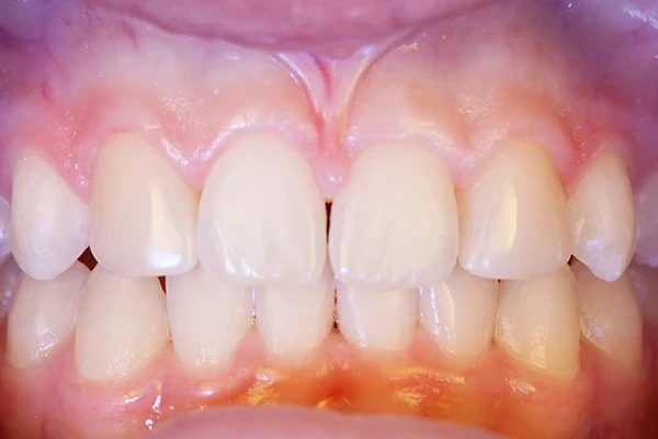
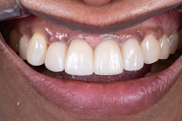
Full Mouth Rehabilitation

Before And After Of A Patients Total Mouth Reconstruction
Before And After Of A Patients Smile From Total Mouth Reconstruction

Complete Denture

Before And After Of A Patient With Their Dentures